Hier finden Sie auszugsweise unsere Leistungen aus dem Bereich Ambulanz. Auf Grund der Bandbreite unseres Leistungsspektrums können wir hier nur einige ausgewählte Punkte nennen.
Ambulanz
Klinische Untersuchung inklusive Beratung zur Vorsorge oder im Krankheitsfall bei allen Kleintierpatienten
- Schwerpunkt: Hund, Katze
- Heimtiere wie Kaninchen, Meerschweinchen, weitere Nagetiere, Pelztiere, Vögel, Reptilien u.a. sowie Exoten wie z. B. Zootiere
Prophylaxe im weitesten Sinne
- Impfungen, Reisevorbereitung, Beratungen zur Tierernährung und Tierhaltung, Parasitenbekämpfung u.a.
Regelmäßige Überwachung und medikamentelle Einstellung chronisch kranker Patienten
- bei Diabetes mellitus, Herzerkrankungen, Nierenerkrankungen, Epilepsie, endokrinologischen Erkrankungen, Tumorerkrankungen u.a.
Spezielle orthopädische und neurologische Untersuchung
- bei Lahmheiten, Ataxien, Lähmungen u.a.
Spezialuntersuchungen bei anderen Erkrankungen
- Dermatologische, kardiologische, gynäkologische Erkrankung, Tumorerkrankungen u.a.
Durchführung der Therapie nach Diagnosestellung ambulant oder auf der Tagesstation
- z.B. Infusionstherapie, Gebisssanierungen, Otitisbehandlung, Chemotherapie, Operationen inklusive Nachbetreuung
- Management von Ernährungssonden, Dauerkathetern, Sauerstoffboxen, u.a.
Diagnostik
Hier finden Sie auszugsweise unsere Leistungen aus dem Bereich Diagnostik. Auf Grund der Bandbreite unseres Leistungsspektrums können wir hier nur einige ausgewählte Punkte nennen.
Computertomographie (CT, 16-Zeiler-Spiral-Computertomograph Somatom Scope Fa. Siemens)
- für Ganz-Körper-Scans oder Untersuchungen einzelner Körperteile zur gleichzeitigen Beurteilung von Weichteilen und Knochen, Abklärung überlagernder oder sehr kleiner Strukturen, Gefäßdarstellungen, bei allen fraglichen Befunden sowie in schwer zugänglichen Bereichen wie Mediastinum oder Lungengewebe bei sehr kurzen Untersuchungszeiten
Magnetresonanztomographie (MRT, Kernspintomographie) inkl. Kontrastmitteldarstellung
- bei neurologischen, tumorösen oder entzündlichen Erkrankungen des Kopfes und der Wirbelsäule, Gelenkveränderungen u.a.
Digitales Röntgen inklusive Kontrastmitteldarstellungen
- bei zahlreichen orthopädischen und allgemeinen Erkrankungen
Doppler-Ultraschalldiagnostik inklusive transkutaner Biopsieentnahme
- bei Erkrankungen von Leber, Milz, Pankreas, Niere, Nebenniere, Uterus, Harnblase, Prostata u.a.
Herzultraschalluntersuchung, Elektrokardiographie, Blutdruckmessung
- Herzerkrankungen
Video-Endoskopie
- Otoskopie, Rhinoskopie, Laryngoskopie, Bronchoskopie, Gastroskopie, Duodeno- und Rektoskopie, Urethroskopie, Laparoskopie, Arthroskopie u.a.
Laboruntersuchungen im Haus
- hämatologische und blutchemische Parameter, Hormone der Schilddrüse und Nebennieren, Beurteilung von Zellausstrichen, Hautgeschabseln, Urinsediment u.a.
Schnelltests
- für Infektionserreger, Parasiten u.a.
Feinnadelaspiration von Lymphknoten und Tumoren, Punktion bzw. Biopsie von Knochenmark
- Bestimmung der Dignität von Tumoren u.a.
Chirurgie
Hier finden Sie auszugsweise unsere Leistungen aus dem Bereich Chirurgie. Auf Grund der Bandbreite unseres Leistungsspektrums können wir hier nur einige ausgewählte Punkte nennen.
Unter Inhalationsnarkose inklusive Überwachung
- bei Bedarf mit maschineller Beatmung, standardmäßig Überwachung mit Pulsoxymetrie und Kapnographie
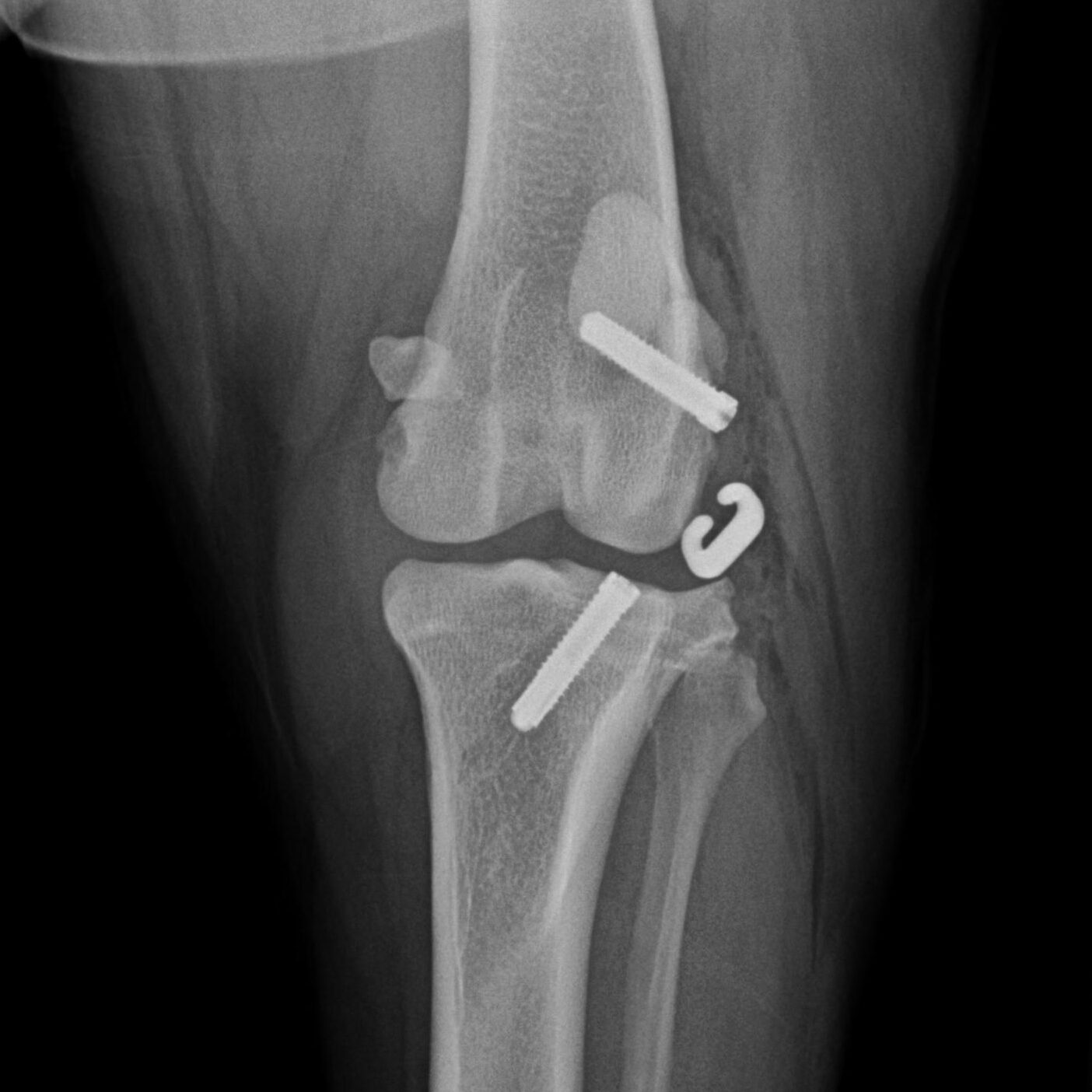
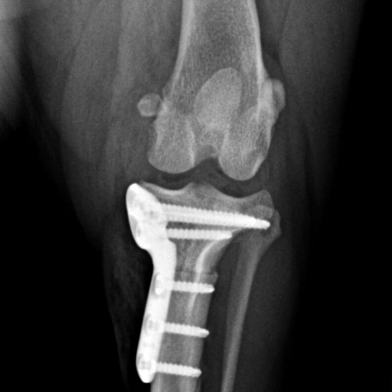
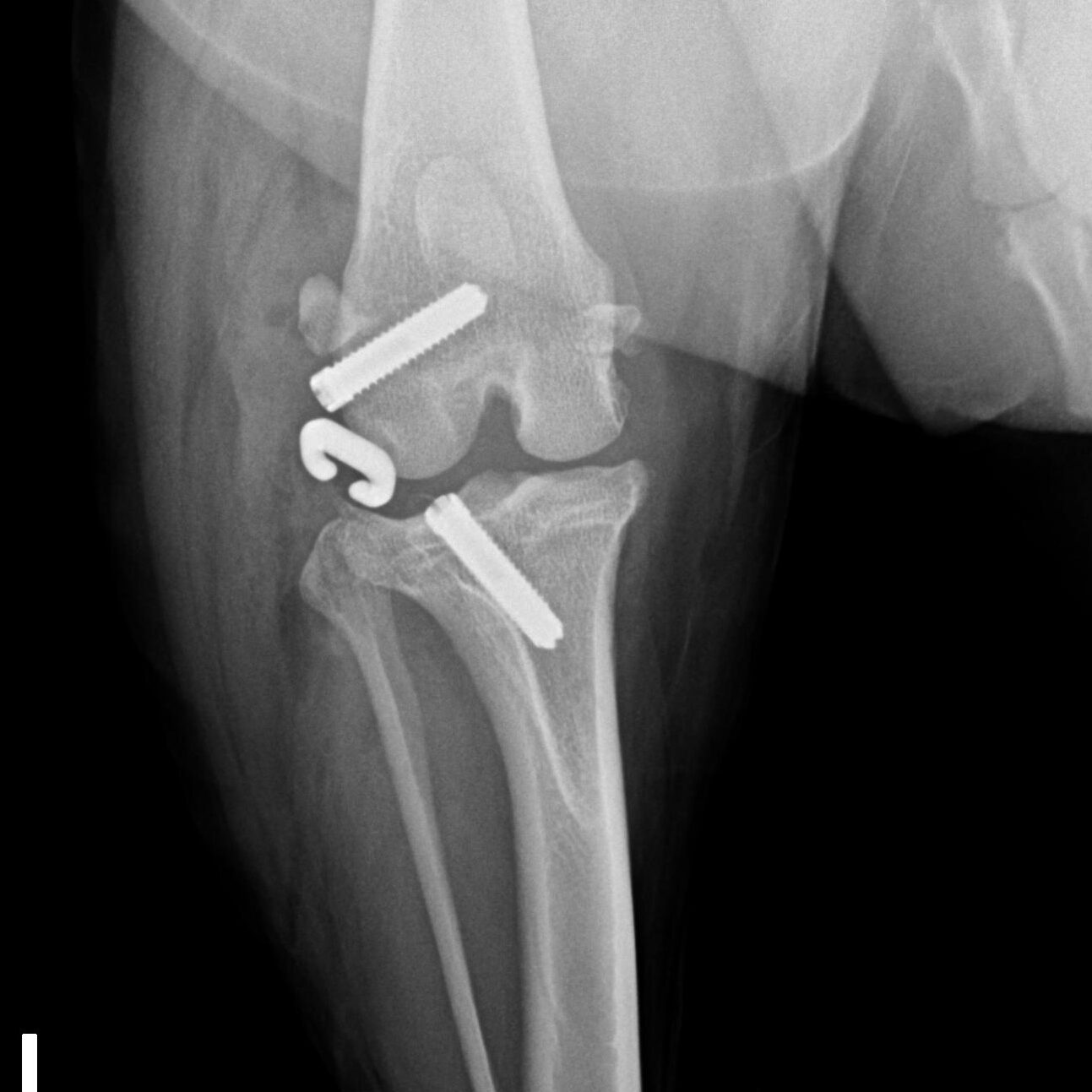
Knochenchirurgie
- Frakturversorgung, Korrekturosteotomie, u.a., verschiedenste Methoden wie Fixateur externe, interne Implantationen von Drähten, Nägeln, Schrauben, Platten inklusive SOP u.a.
Gelenkchirurgie inklusive Arthroskopie
- Kreuzbandriss, Meniskusläsionen, Patellaluxation, laxe Schulter, Isolierter Processus anconaeus, Fragmentierter Processus coronoideus, Osteochondrosis dissecans, Luxationen, Frakturen u.a.
Operationen an Sehnen und Bändern
- Rekonstruktion, Korrektur, Ersatz u.a.
Wirbelsäulenchirurgie, Neurochirurgie
- Discopathie, Wirbelfrakturen u.a.
Thoraxchirurgie
- Trachealkollaps, Lungenlappenresektion, Herzbeutelresektion, Zwerchfellruptur, Rippenfraktur u.a.
Abdominalchirurgie
- Gastro-, Entero-, Zystotomie, Torsions-Operationen, Darmresektion, Milzextirpation, Leberlappenresektion, Nephrektomie, Adrenektomie, Ovarhysterektomie, Operationen der Prostata u.a.
Minimalinvasive Chirurgie
- „Schlüsselloch-Chirurgie“: laparoskopische Kastration, Kryptorchismus, Befestigung des Magens an der Bauchwand nach Torsion u.a.
Unfallchirurgie
- Thorax-Drainagen, Versorgung großflächiger und stark blutender Verletzungen u.a.
Tumorchirurgie
Laserchirurgie
- blutungsarme Chirurgie besonders geeignet bei Tumoren, HNO-Erkrankungen, Fisteln uvam.
Korrigierende Chirurgie
- Gaumensegel kürzen, Nasenfalten, Othämatom u.a.
Beseitigung von Hernien
- Perinealhernie, Inguinalhernie, traumatisch bedingte Hernien u.a.
Harnsteinentfernung
- im Bedarfsfall Anlegen eines Urethrostomas, Cleveland-Operation bei Katern u.a.
Physiotherapie
Hier finden Sie auszugsweise unsere Leistungen aus dem Bereich der Physiotherapie für Hunde und Katzen.
Manuelle Anwendungen
- Massage
- Lymphdrainage
- Wärmetherapie
- Manuelle Therapie
- Dehnungsübungen
Krankengymnastik
- passive Krankengymnastik
- aktive Krankengymnastik (u.a. mit Hilfsmitteln wie Balancekissen oder Stangen)
- Reflexinduziertes Training
- Stand- und Bewegungstraining
Hydrotherapie
- Therapie mit Unterwasserlaufband















